过氧化氢酶晶体
Catalase Crystals

过氧化氢酶晶体,负染处理,8.75nm和6.85nm 的晶面间距,在TEM和STEM下非常清晰,适合高倍校准。
产品编号 | 描述 | 单位 |
612 | 过氧化氢酶晶体 | 个 |
铁蛋白
Ferritin


铁蛋白分子四分染色体能够被分辨,表明仪器分辨率优于1.25nm。铁蛋白分散在3mm铜网的formvar/C支持膜上。
产品编号 | 描述 | 单位 |
608 | 铁蛋白 | 个 |
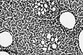
多孔碳膜上的金标样
Gold on "Holey" Carbon Film

蒸镀金岛之间的间隙可理想用于检查TEM/STEM的分辨率,碳膜上的孔也亦可用作像散校正。
产品编号 | 描述 | 单位 |
613 | 多孔碳膜上的金标样 | 个 |
铂/铱标样
Evaporated Platinum / Iridium

在多孔碳膜上蒸镀Pt/Ir。碳膜上的孔方便用于聚焦及像散校正,蒸镀的金属颗粒用于TEM分辨率检查。
产品编号 | 描述 | 单位 |
611 | 铂/铱标样 | 个 |
多孔碳膜
"Holey" (Perforated) Carbon Film

最佳的通用TEM像散校正标样,孔边缘的图像亦可指示TEM的稳定性和分辨能力。
产品编号 | 描述 | 单位 |
609 | 多孔碳膜 | 个 |




